新聞中心

視網膜
視網膜是眼球中重要的結構之一,它是位于眼球壁內層的一層透明薄膜,周圍布滿了大量的感光細胞和神經纖維,通過它可以直接接受來自外界環境的光線并在眼球內形成影像,通過神經纖維將影像信息傳送至大腦中樞形成視覺。
其它中樞神經系統內也有小膠質細胞,在健康的視網膜中,神經元和小膠質細胞之間的交流對維持神經元向大腦發送信號的能力非常重要。
視網膜血管作為人體內可以進行非創傷直接觀察的深層微血管,其生理狀況的檢查對高血壓、糖尿病、動脈硬化等心血管疾病的診斷、治療評價具有重要意義。
一般而言,眼底圖像通常都是通過激光掃描成像進行采集,但是由于眼底可觀測的視野往往是很有限的,一個患者的眼底信息需要多張掃描圖像才能完全顯示出來。這種局限性大大不利于病情進行全面的、細致的診斷。Tissue Cytometry全景組織流式定量分析技術進行全景圖像獲取,在單細胞、組織結構、細胞空間信息等多個層面進行定位、定性、定量分析。從而更好的對病變區域進行有針對性的跟蹤觀察和全面分析。
實驗目的
視網膜熒光樣本中小膠質細胞胞體、神經纖維識別、血管識別、血管斑點識別、神經元與血管的距離分析。
實驗流程
1. 利用TissueFAXS系統進行玻片熒光的全景掃描。
2. 使用StrataQuest分析軟件進行定量分析。
3. 根據FITC通道識別神經胞體并篩選出細胞胞體(細胞核識別算法)。
4. 膜識別FITC染色信號的區域確定神經纖維,并對不同長度神經纖維進行分類。
5. 識別血管的Texa Red染色區域面積及強度。
6. 計算神經元與血管間的空間距離,并統計數量和占比。
7. 根據毛細血管亮斑的識別結果,統計新生小血管數量。
實驗過程
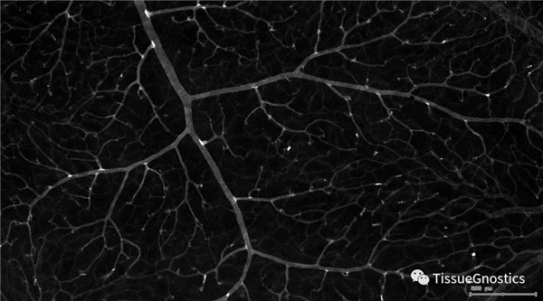
單通道灰階圖(↑:FITC,↓:Texa Red)




根據染色強度,染色面積,細胞形態學,利用正反向回溯功能和設門圈選Gating,排除雜質,細胞碎片,黏連細胞(綠色框線標記),獲得神經元胞體,(粉色框線標記),并將胞體按照面積分為兩類(散點圖)。
由于該視網膜樣本是標記的小膠質細胞,根據面積將神經胞體分為兩類(Small bodycell,Big bodycell),反向回溯Big bodycell中的細胞后,應用Input Gate功能篩選短粗的神經纖維,作為激活態的小膠質細胞。

激活態小膠質細胞識別

血管識別:根據Texa Red通道進行識別,并去除面積小的及非同一焦面的血管,僅對確定的清晰的同一焦面的大血管進行面積統計。
血管與小膠質細胞的距離

血管與小膠質細胞的距離0-0.1μm(紅色框線標記)

血管與小膠質細胞的距離0.1-1μm(粉色標記)

血管與小膠質細胞的距離1-3μm(粉色標記)
此外,Tissue Cytometry散點圖-熱力圖-數據同屏疊加對比功能,可以整合多種數據分析的二維圖像,便于研究者們直觀的對比與校驗;同屏對比功能,不但可以同屏預覽,還可以支持多點實時聯動縮放,便于觀察/分析圖像,打通信息分析時數據-圖像之間的屏障。
